Modern dental clinic interior

Redefining Dental Care

Experience compassionate, expert-led dental care under one roof — where every smile is treated with precision, trust, and a personal touch.

Make Appointment
Modern dental equipment and treatment room

Reimagining Dental Care with Compassion and Expertise

At The Bright Smile, we combine expertise, empathy, and modern technology to offer personalized dental care for every age. From preventive checkups to advanced treatments, your comfort and smile are our top priorities.

Experienced Team

Skilled specialists with years of expertise

Patient Comfort

Gentle approach with personalized care

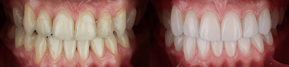
Smiles Delivered. Trust Earned.

From first visits to full smile makeovers, our growing numbers reflect the care and confidence our patients place in us. Here's a quick look at the impact we’ve made. With every smile we treat, our commitment to excellence only grows stronger.

800+
Happy Patients
8+
Years of Experience
11
Specialities

Dental Services for Your Smile

Dental clinic waiting room
Stress-Free Experience icon

Stress-Free Experience

From welcoming interiors to gentle care, every detail is designed to ease dental anxiety.

Prime Gurgaon Location icon

Prime Gurgaon Location

Easily accessible with ample parking — located in the heart of Sector 69.

Modern Technology, Gentle Touch icon

Modern Technology, Gentle Touch

We combine advanced tools with a human approach for faster, pain-free treatment.

Our Doctors

Meet the Experts Behind Every Smile

From advanced surgeries to routine care, our highly qualified dental team brings skill, compassion, and a commitment to excellence in every treatment.

Dr. Nikhil Vijay

Dr. Nikhil Vijay

MDS Oral and Maxillofacial Surgeon
Implantologist (Barcelona, Spain)
Ex. Resident (Maulana Azad Dental Hospital)
Ex. Resident (Sir Ganga Ram Hospital)
Dr. Puja Ganjoo

Dr. Puja Ganjoo

Consultant Dental Surgeon
Ex. Resident (Sir Ganga Ram Hospital)
Dr. Rahul Verma

Dr. Rahul Verma

B.D.S, M.D.S
Prosthodontist & Implantologist
Ex. Resident (Sir Ganga Ram Hospital)
Ex. Resident (Maharaja Agrasen Hospital)
Visiting Consultant (Seghal Neo Hospital)
Visiting Consultant (Dental Home Academy)
Dr. Mridu Sethi

Dr. Mridu Sethi

M.D.S.
B.D.S.
Certified INVISALIGN Provider
Certified SPARK (Ormco), CLEARCORRECT (Straumann), Flash Aligner Provider
Certified Damon (Ormco) Self-Ligation Braces Provider
Dr. Aman Verma

Dr. Aman Verma

B.D.S, M.D.S
Consultant Endodontist & Root canal Specialist
Ex. Resident Doctor (Sir Ganga Ram Hospital)
Ex. Resident Doctor (Maulana Azad Institute of Dental Sciences)

Trusted by Happy Patients

Hear from our patients about how we've helped them achieve healthier, more confident smiles.

Quote Icon
Very humble and soft spoken Doctor. Good manners. Very reasonable prices. Quality treatment.

DDev Veer

Quote Icon
Doctor was very good, knowledgeable and explained all lines of treatment very well. I highly recommend bright smile

BBabar Farooqi

Quote Icon
Excellent experience at The Bright Smile for my wisdom tooth extraction. The procedure was handled with great care and professionalism. Highly recommend their services.

RRajesh monga

Quote Icon
Good dental clinic. Got relief after treatment here. Doctor explains everything in detail in simplest way.

AAnand Singh

Quote Icon
Totally recommendable!!!! Great staff and service! Now I see why they say, “Teeth deserve to be shown off.”

PPriyanka Jha

Quote Icon
Highly recommend this clinic to anyone looking for quality dental care. Truly appreciated the care and precision with which the filling was done, no discomfort experienced.

HHarshita Kumar

Quote Icon
Positive experiences with skilled and compassionate dentist, especially regarding pain management and clear communication about procedures.

DDr. Chetna Bhat

Quote Icon
Very happy with my visit! Quick, painless, and the whole team made me feel comfortable.

SSmriti Handoo

Quote Icon
Clean clinic, short wait time, and excellent service. Highly recommend for anyone needing dental care.

SShrey Gupta

Quote Icon
Perfect place for dental care, loved their services✨️

AAkanksha Jaiswal

Quote Icon
Got my implants done from here. The treatment was truly painless.

NNaman Pahuja

Quote Icon
I had a wisdom tooth extraction. I had a very good experience, everything was well coordinated.

NNidhi Bhardwaj&

Quote Icon
Osmmmm and painless treatment. Really really recommend this clinic.

JJayashree Sushant Dutta

Quote Icon
so nice experience all the staff n doctor was so nice... must visit.

BBhavishya Sharma

Quote Icon
Affordable dental treatment. Satisfied with my treatment

DDinesh Chand

Quote Icon
On of the best dental clinic. The dentist was experienced. Painless treatment.

DDev

Quote Icon
I recently visited the clinic. I got my teeth cleaning done. Doctors are professional and explained the procedure in details. Highly recommend 👍

JJiteandra Kumar

Quote Icon
DR.Poja was very kind and gentle. Highly recommended.

AAnindya Mitra

Quote Icon
Don't hesitate to visit this clinic👍

WWonri

Quote Icon
Excellent service by doctor. Very humble

KKapil Tiwari

Quote Icon
Great service and polite nature.

SSharuti Dogra

How It Works

Your Journey to a Healthier Smile Begins Here

icons

Book an Appointment

Call us or fill out our quick online form — we’ll get you scheduled at your convenience.

icons

Visit Our Clinic

Head over to our easily accessible Gurgaon location

icons

Receive Expert Dental Care

Enjoy personalized care from our trusted dental professionals — your comfort and smile come first.

WhatsApp